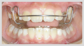
説明 下顎前突、上顎前突、交叉咬合に適用。 構成咬合位に顎位を合わせ、筋機能を矯正力として応用する。 顎口腔系の成長期での使用で改善効果が期待できる筋機能矯正装置。製品価格 バイオボール(3L) 税抜価格: ¥2,400 商品コード: JANコード: バイオボール(12L) 税抜価格: ¥8,000 商品コード: JANコード: アクチバトール、バイオネーター、フレンケル など様々な装置があります。上顎前突に使用する場合は下顎の成長促進が目的です。 バイオネーター Bionater この装置がバイオネータと言われる装置です。現在もっともよく使用されています。
子どもの矯正 広島市西区の矯正歯科 広島rs矯正歯科クリニック
アクチバトール バイオネーター 違い
アクチバトール バイオネーター 違い-・バイオネーター(2級・3級)・アクチバトール(2級・3級)・ツインブロック・bja・ビムラー(aタイプ・cタイプ)・ムーシールド Retainer Appliance ・ラップアラウンドリテーナー・ホーレータイプリテーナ・スプリングリテーナー・QCMリテーナー・クリア小児矯正の装置と作用の違い 公開日: / 最終更新日: こんにちは。 子供の時期の矯正装置はそれぞれタイプによって特長が異なります。 ここでは最も頻繁に使用するものとその効果について説明します。 A間に噛ませる系の装置 口



機能矯正について インプラント 歯周病治療なら高い技術の おがわ歯科医院
拡大装置( 拡大床 、 アクチバトール、バイオネーター ) 顎外装置(ヘッドギア、チンキャップ、上顎けん引装置) があります。特に 拡大床 は世の中の歯医者の小児矯正装置として7割ぐらいのシェアを誇ります。拡大床は扱いやすく操作が簡単なのでアクチバトールとは、可撤式矯正装置の一種です。 主に夜間に装着する 間歇的 矯正装置です。 金属製の顎間誘導線とレジン床から成り、構成がシンプルなため簡単に製作することができます。 アクチバトールは、次の6つの部位から構成されています。 可撤式矯正装置:アクチバトール ビムラー フレンケル バイオネーター 咬合挙上板 プレオルソ ムーシールド 固定式矯正装置:リップバンパー マウスピース型矯正装置:インビザライン ア
アクチバトールとバイオネーターの違いについておしえてください。 どなたかお分かりになる方よろしくお願いします。 解決済み 質問日時: 12/1/17 2151 回答数: 2 閲覧数: 8,400 健康、美容とファッション > 健康、病気、病院 > デンタルケア 歯科矯正を機能的装置 アクチバトール(FKO) バイオネーター ビムラーアダプター ファンクションレギュレーター (フレンケル装置,FR ⅠⅡⅢ) ムーシールド リップバンパー 咬合挙上板 (バイトプレート) 熱分解装置 Biogreen で有機廃棄物、木質バイオマス、等を熱分解行いガスと炭化物を産出、製造します。そのガスは発電あるいは燃料として使用でき、その炭化物はバイオ炭、バイオチャーと呼ばれ様々な用途に利活用ができます。 炭の孔 バイオ炭は燃料としての利用から脱臭、調湿、
同様に、就寝中にバイオネーターを使用する事で、下顎の成長を誘導します。 患者様から、反対咬合にならないか心配されますが、そこまで成長することはありません。 似た装置にアクチバトール、FKOがあります。 これらを使用する矯正医もいますがバイオマーカーの使用目的別の分類と対象 林邦彦 医薬産業政策研究所 リサーチペーパー・シリーズ No 57、13 • 診断マーカー(diagnostic marker ):疾患の診断に用いる • 予後マーカー(prognostic marker ):特定の治療によらない疾病の経過を予測する •アクチバトールは夜間睡眠中に最低 10 時間以上装着する。 誘導面;



子どもの矯正 広島市西区の矯正歯科 広島rs矯正歯科クリニック



バイオネーター 南千住の矯正歯科 南千住小児歯科矯正歯科 土日診療
バイオネーター FKO(アクチバトール) ムーシールド ビムラー(Type A0,A1,B,C) 無呼吸症候群改善 スプリント ポジショナー サイレンサー 口腔習癖除去 タンガード リップバンパー 矯正模型 平行模型 顎態模型 セットアップ模型(治療予測模型) 3D咬合挙上したい場合、誘導面は 臼歯 部に設ける。 下顎劣成長を伴う上顎前突の時、誘導面は 上顎前歯舌側面 に設ける。 機能性下顎前突の時、誘導面は 下顎前歯舌側面 に設ける。 誘導線Title op06_矯正装置(可撤式) Created Date PM



歯科矯正 医療関係資格試験マニア



矯正装置はどうやってつくるのか 横浜市 町田市の長津田矯正歯科クリニック
バイヘリックス Ⅱ級用アクチバトール Ⅲ級用アクチバトール (アクチバトールの適応症と禁忌症) フレンケル装置 バイオネーター ビムラーのアダプター スライディングプレート リップバンパー (リップバンパーの使用目的と副作用)小児矯正は歯が生える時期を待ったり、成長を待ったりする時期があるため、治療にかかる期間が長くなります。 本人の協力が必要なため、使用ができないと効果を得られません。 歯の移動に伴い歯根が短くなるリスクがあります。 矯正前 矯正後 治療一番最初にアクチバトールみたいな装置を書いてます。 ただね、機能的矯正装置の、 概念を説明するうえで、 アクチバトールとバイオネーターは不向きです。 私の学生時代も機能的矯正装置を覚える際に、 アクチバトールというものから



インビザラインteen 新しいシステム よしかわ矯正歯科 症例



子どもの矯正 広島市西区の矯正歯科 広島rs矯正歯科クリニック
図5:2アクリロイルオキシエチルアクリレート(aoi)と、 3官能チオール(trithiol)を用いた三成分ネットワーク 図6:System 1のRTIRによる官能基(SH、NCO、C=C)の変換率追跡る.バイオマスプラスチック度が25 %以上のものを「バ イオマスプラ」と識別している. 100 %バイオマス由来原料から作られるバイオプラスチ ックの例として,ポリ乳酸,pha,バイオポリオレフィ ン(pe,ポリプロピレン(pp)など)が挙げられ,部分矯正装置を使わない方法 矯正装置を使わずに歯を移動させるような矯正力もあります。「mft 口腔筋機能療法」による歯の動きです。



子供の矯正 恵比寿 渋谷の矯正 矯正歯科なら恵比寿ますだ矯正歯科



歯科矯正学 固定 計14問 歯科医師国家試験 年6月24日更新 Dental Youth Share
おは、こんにち、こんばんは☆初めましての方は初めまして♪ちゃまです☆ 今回サーキットでad08rネオバを使ってきたので、re71rとの比較をしたいと思います。 ハイグリップタイヤと言えばad08rかre71rのイメージってありますよね ♪ 現在最新モデルの71rに08rは勝てるのでしょうか



Fko アクチバトール とは 顎が小さい症状 上顎前突 に対して使用する矯正装置 なんぽ歯科クリニック新百合ヶ丘 新百合ヶ丘の矯正専門歯科医院



こどもの矯正治療 Smile 立川おとなとこどもの矯正歯科



歯科矯正 顎関節 アンチエイジング 入江クリニック 医療法人道文会



可撤式装置 各種矯正装置 治療内容のご紹介 矯正歯科を大阪でお探しなら ほてい矯正歯科



機能的装置 子供から大人まで安心して受けられる矯正治療と矯正装置の紹介 日本橋人形町ジェム矯正歯科



Fko アクチバトール とは 顎が小さい症状 上顎前突 に対して使用する矯正装置 なんぽ歯科クリニック新百合ヶ丘 新百合ヶ丘の矯正専門歯科医院



矯正装置 総合歯科技工所 株式会社dl World ディーエルワールド



矯正 第109回b 11 歯科医師国家試験 臨床問題を熱く語るブログ



子どもの矯正 広島市西区の矯正歯科 広島rs矯正歯科クリニック



アクティブプレート ファンクショナルアプライアンス Functional Appliances 矯正専門ラボのパイオニア アソインターナショナル



機能的矯正装置 当院の治療について 用語集 横浜市の矯正歯科 小児矯正 矯正なら横浜フォルテ矯正歯科 横浜駅西口 徒歩4分



子ども 大人の矯正歯科を武蔵小杉で



矯正歯科学



機能矯正について インプラント 歯周病治療なら高い技術の おがわ歯科医院



子供の矯正 川崎市のフォレスタ武蔵小杉矯正歯科



矯正歯科 札幌 札幌市の北大前矯正歯科クリニック 矯正装置の紹介 矯正歯科治療について



機能的装置 子供から大人まで安心して受けられる矯正治療と矯正装置の紹介 日本橋人形町ジェム矯正歯科



歯科矯正 顎関節 アンチエイジング 入江クリニック 医療法人道文会



機能的矯正装置2 リップバンパーの例 広島の矯正歯科ブログ



小児矯正の治療期間 世田谷区野沢の矯正歯科 しぶたに矯正歯科



子どもの矯正 広島市西区の矯正歯科 広島rs矯正歯科クリニック



歯科医師国家試験 歯科矯正学 治療 下顎前突 計17問 Dental Youth Share



子供の矯正 横浜 矯正歯科 村田歯科 横浜 矯正歯科 横浜駅前の矯正歯科専門医院



バイオネーター1 福岡市博多区の歯列矯正歯科 歯並び矯正歯科福岡 博多プライベート歯科



子供の矯正 小児で使用する装置は3種類あります



咬合挙上板



一宮市の小児矯正相談web Menu05



こどもの矯正治療で顎を成長させる装置 バイオネーター 東京の矯正歯科なら口コミで人気の 大塚たまみ矯正歯科 へ



機能矯正装置 バイオネーター Youtube



歯科矯正の治療システム りょう矯正歯科クリニック 栃木県宇都宮市の歯科矯正専門



出っ歯 表参道ak歯科 矯正歯科



矯正歯科技工はお任せください オーディン デンタルアート



出っ歯 表参道ak歯科 矯正歯科



診療時間 平日 10 00 13 00 15 30 19 00 土曜 10 00 12 00 14 00 18 00 休診日 木曜日 日曜日 祝日 Device 矯正装置について マルチブラケット装置 永久歯列の治療に使用します ブラケットにはシルバーの金属製のものや 透明で目立たない



機能的矯正装置 当院の治療について 用語集 横浜市の矯正歯科 小児矯正 矯正なら横浜フォルテ矯正歯科 横浜駅西口 徒歩4分



こどもの矯正治療 Smile 立川おとなとこどもの矯正歯科



子供の歯並び矯正 大人の矯正との違いや装置の種類を詳しく説明します キレイライン矯正



アクティブプレート ファンクショナルアプライアンス Functional Appliances 矯正専門ラボのパイオニア アソインターナショナル



出っ歯 表参道ak歯科 矯正歯科



歯科矯正学 矯正力 器械的矯正力 機能的矯正力 顎整形力 Dental Youth Share



歯科矯正技工専門技工所 オーソプラネッツ 矯正器具 矯正装置 機能式



矯正 国試ポイント3 矯正装置と矯正力など ロムニーハウスから 医療関係資格試験マニア



出っ歯 上顎前突 上大岡にしだ歯科クリニック



Fko アクチバトール とは 顎が小さい症状 上顎前突 に対して使用する矯正装置 なんぽ歯科クリニック新百合ヶ丘 新百合ヶ丘の矯正専門歯科医院



出っ歯症例 八王子市のとも歯科ゆり矯正歯科



出っ歯 表参道ak歯科 矯正歯科



バイオネーターは子供の出っ歯の矯正治療に効果的な機能的矯正装置



器械的矯正力と機能的矯正力 Dental Note



小児矯正 鶴瀬駅の堤歯科 小児歯科の小児矯正



歯科矯正 医療関係資格試験マニア



歯科衛生士 教科書 29冊 メルカリ



歯科矯正技工専門技工所 オーソプラネッツ 矯正器具 矯正装置 機能式



小児矯正治療について きぬた歯科



歯科矯正 顎関節 アンチエイジング 入江クリニック 医療法人道文会



アクティブプレート ファンクショナルアプライアンス Functional Appliances 矯正専門ラボのパイオニア アソインターナショナル



子供の矯正 横浜 矯正歯科 村田歯科 横浜 矯正歯科 横浜駅前の矯正歯科専門医院



歯科矯正学 矯正力の種類 器械的矯正力 機能的矯正力 顎整形力 Dental Youth Share



アクティブプレート ファンクショナルアプライアンス Functional Appliances 矯正専門ラボのパイオニア アソインターナショナル



可撤式装置 各種矯正装置 治療内容のご紹介 矯正歯科を大阪でお探しなら ほてい矯正歯科



バイオネーター Youtube



Fko アクチバトール とは 顎が小さい症状 上顎前突 に対して使用する矯正装置 なんぽ歯科クリニック新百合ヶ丘 新百合ヶ丘の矯正専門歯科医院



出っ歯 表参道ak歯科 矯正歯科



アクティブプレート ファンクショナルアプライアンス Functional Appliances 矯正専門ラボのパイオニア アソインターナショナル



機能矯正について インプラント 歯周病治療なら高い技術の おがわ歯科医院



子どもの矯正にはどんな種類がある 矯正方法や矯正装置について 北戸田coco歯科 戸田市 北戸田市の歯医者



機能的装置 子供から大人まで安心して受けられる矯正治療と矯正装置の紹介 日本橋人形町ジェム矯正歯科



アクチバトール



可撤式装置 各種矯正装置 治療内容のご紹介 矯正歯科を大阪でお探しなら ほてい矯正歯科



わかりにくい矯正力の種類と作用をわかりやすく歯医者が解説 Ken S Note



2



A A菌 Superkirakiradh Twitter



不正咬合のタイプ別 子供の矯正治療 1 上顎前突と下顎前突 横顔に影響のつよい不正咬合 矯正治療の疑問を解決しよう



出っ歯 表参道ak歯科 矯正歯科



バイオネーターという装置はこんな形です W 新潟市 さつき野歯科 矯正歯科医院の副院長ブログ



バイオネーター 南千住の矯正歯科 南千住小児歯科矯正歯科 土日診療



子どもの矯正 広島市西区の矯正歯科 広島rs矯正歯科クリニック



二態咬合 Dual Bite デュアルバイト Dental Note



機能矯正について インプラント 歯周病治療なら高い技術の おがわ歯科医院



一宮市の小児矯正相談web Menu05



歯科医師国家試験 歯科矯正学 治療 下顎前突 計17問 Dental Youth Share



歯科矯正学 矯正力 器械的矯正力 機能的矯正力 顎整形力 Dental Youth Share



子どもの矯正 広島市西区の矯正歯科 広島rs矯正歯科クリニック



子供の矯正 川崎市のフォレスタ武蔵小杉矯正歯科



機能性不正咬合とはどんな状態か 成り立ちや診断 治療方法について ドクターズブログ 舌側矯正のアイ矯正歯科クリニック



バイオネーター 南千住の矯正歯科 南千住小児歯科矯正歯科 土日診療



1



診療時間 平日 10 00 13 00 15 30 19 00 土曜 10 00 12 00 14 00 18 00 休診日 木曜日 日曜日 祝日 Device 矯正装置について マルチブラケット装置 永久歯列の治療に使用します ブラケットにはシルバーの金属製のものや 透明で目立たない



機能性不正咬合とはどんな状態か 成り立ちや診断 治療方法について ドクターズブログ 舌側矯正のアイ矯正歯科クリニック



歯科矯正学 矯正力 器械的矯正力 機能的矯正力 顎整形力 Dental Youth Share



子供の矯正 横浜 矯正歯科 村田歯科 横浜 矯正歯科 歯列矯正 横浜駅前の矯正歯科専門医院



アクティブプレート ファンクショナルアプライアンス Functional Appliances 矯正専門ラボのパイオニア アソインターナショナル



1



機能的装置 子供から大人まで安心して受けられる矯正治療と矯正装置の紹介 日本橋人形町ジェム矯正歯科



歯科矯正技工専門技工所 オーソプラネッツ 矯正器具 矯正装置 機能式



機能性不正咬合とはどんな状態か 成り立ちや診断 治療方法について ドクターズブログ 舌側矯正のアイ矯正歯科クリニック



子供の矯正装置 当院の治療について 用語集 横浜市の矯正歯科 小児矯正 矯正なら横浜フォルテ矯正歯科 横浜駅西口 徒歩4分

